Nutricion y Dietética
Nutrición y Dietética: La Clave para una Vida Saludable y Equilibrada La nutrición y la dietética son esenciales para mantener […]
Nutrición y Dietética: La Clave para una Vida Saludable y Equilibrada La nutrición y la dietética son esenciales para mantener […]
Lo último en medicación y tecnología La diabetes es una enfermedad crónica que afecta a millones de personas en el
¿Qué es la diabetes y por qué es importante detectarla a tiempo? La diabetes es una enfermedad crónica que afecta
Cáncer de mama: Todo lo que necesitas saber sobre la detección y los exámenes médicos El cáncer de mama es
UROTAC: Qué es y Dónde realizarlo en Caracas El UROTAC es un examen crucial en el diagnóstico de enfermedades del
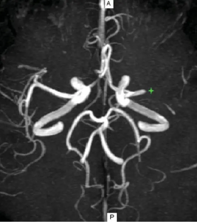
Angiotomografía (AngioTAC) en Caracas: Información, Precios y Beneficios La angiotomografía o AngioTAC es un procedimiento avanzado de diagnóstico por imágenes
Artrotomografia (ArtroTAC) en Caracas: Información, Precios y Beneficios La artrotomografia o ArtroTAC es un procedimiento avanzado de diagnóstico por imágenes
Tomografías Virtuales: Broncoscopia, Colonoscopia y Traqueobroncoscopia Las tomografías virtuales son procedimientos avanzados que utilizan la tomografía computarizada (TAC) para obtener
Resonancia Magnetica Abierta en Caracas: Información, Precios y Beneficios La resonancia magnetica abierta es una alternativa avanzada a la resonancia
Angioresonancia Magnética en Caracas: Información, Precios y Beneficios Es un procedimiento avanzado de diagnóstico por imágenes que permite visualizar los